—— Cirurgia de Joanetes · São João del Rei

Joanete com dor? Existe tratamento preciso — e recuperação mais rápida do que você imagina.

A cirurgia minimamente invasiva permite corrigir o joanete com incisões mínimas, sem grandes cortes, e retorno antecipado às atividades do dia a dia.

Você se identifica? —— 

Sinais de que o joanete já está afetando a sua vida

O joanete evolui lentamente — e muitas vezes só é levado a sério quando a dor já está interferindo no dia a dia.

Dor ou ardência no lado do dedão, especialmente ao usar sapatos fechados

Saliência óssea visível na base do dedão, que vai aumentando com o tempo

Dificuldade cada vez mais frequente para encontrar calçados confortáveis

Dor no dedão ao caminhar por mais tempo ou praticar atividades físicas

Dedão que vai se desviando em direção aos outros dedos e alargando a frente do pé

Calosidade ou vermelhidão persistente na região da saliência óssea

Se você reconhece mais de um desses sintomas, uma avaliação especializada pode definir o melhor tratamento — antes que a deformidade progrida mais.

Entenda o problema —— 

O que é joanete e por que ele piora com o tempo

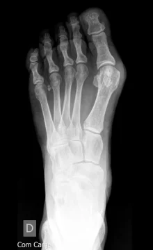
O joanete — chamado tecnicamente de hallux valgus — é um desvio progressivo do primeiro osso do pé que empurra o dedão em direção aos demais. Isso cria a saliência característica na lateral do pé, que vai se tornando cada vez mais dolorosa.

A deformidade tende a piorar com o tempo, especialmente com o uso de calçados de bico fino ou com salto. Sem tratamento, o osso continua se desviando, podendo comprometer os outros dedos e tornar até caminhadas curtas desconfortáveis.

Quando é necessário operar? A cirurgia é indicada quando a dor está afetando a qualidade de vida, quando a deformidade está progredindo visivelmente ou quando tratamentos conservadores — como palmilhas e fisioterapia — não trouxeram alívio duradouro.

Não é toda pessoa com joanete que precisa de cirurgia. A decisão depende de uma avaliação individualizada, com exame clínico e radiográfico.

20241008_082032
IMG_1649

Suas dúvidas, respondidas —— 

As perguntas que os pacientes
mais me fazem

Prefiro responder essas dúvidas com transparência, antes da sua consulta.

“Vai doer muito? Tenho muito medo da cirurgia.”

Essa é a dúvida mais comum — e faz todo sentido. A cirurgia minimamente invasiva é muito diferente das técnicas antigas que a maioria conhece pelo relato de outras pessoas.

Com pequenas incisões e instrumentos especializados, o procedimento causa menos trauma aos tecidos, resultando em menos dor pós-operatória e recuperação mais rápida. A maioria dos pacientes surpreende-se positivamente.

“E se o joanete voltar depois da cirurgia?”

É uma preocupação legítima e prefiro ser direto:existe sim a possibilidade de recidiva, que fica em torno de 5%. Ou seja, a cirurgia oferece resultado satisfatório e permanente em 95% dos casos. 

Com técnica minimamente invasiva e planejamento correto, as taxas de recorrência são significativamente baixas. O uso de calçado adequado no pós-operatório é essencial para manter o resultado.

“Quanto tempo até voltar ao normal?”

A recuperação varia conforme o grau da deformidade. Em geral, é possível caminhar com sapato especial já nos primeiros dias. Atividades cotidianas leves retornam em 2 a 4 semanas, e o retorno pleno costuma ocorrer entre 6 e 10 semanas.

“Meu plano de saúde cobre a cirurgia?”

Meu atendimento é particular, o que garante consulta com tempo dedicado e acompanhamento personalizado em todas as etapas — da avaliação ao pós-operatório.

O investimento exato é informado na consulta. Fique à vontade para tirar dúvidas pelo WhatsApp antes de agendar.

do início ao fim —— 

Como funciona o tratamento na prática

Cada etapa é pensada para que você saiba exatamente o que esperar — sem surpresas.

01

CONSULTA E AVALIAÇÃO

Exame clínico detalhado com análise da deformidade, histórico de sintomas, radiografia do pé e avaliação da marcha. O objetivo é entender o seu caso antes de qualquer decisão.

02

planejamento cirúrgico individualizado

Com base nos exames, definimos a técnica mais adequada para o seu grau de deformidade. Não existe cirurgia padrão — cada caso tem um plano específico.

03

O PROCEDIMENTO

Cirurgia ambulatorial com anestesia local ou sedação leve e bloqueio medular, realizada por meio de pequenas incisões. Duração média de 45 a 90 minutos, com alta no mesmo dia na maioria dos casos.

04

RECUPERAÇÃO E ACOMPANHAMENTO

Você recebe orientações detalhadas sobre cuidados e uso de calçado especial. Acompanhamento da cicatrização com enfermeira especialista da equipe e aplicação de laser para melhor resultado.

05

RETORNO ÀS ATIVIDADES

Retorno gradual às atividades — caminhada, trabalho, exercícios — conforme a evolução de cada paciente. O objetivo é que você volte a viver sem limitações.

RESULTADOS —— 

Antes e depois:
a transformação em imagens

Casos reais publicados com autorização dos pacientes. Os resultados variam conforme o grau de deformidade de cada caso.